갈비뼈 금간 증상
갈비뼈는 우리 몸에서 중요한 역할을 하는 골격 구조로, 심장과 폐를 보호하고 호흡을 도와주는 기능을 담당합니다. 그러나 사고나 과도한 압박 등으로 갈비뼈에 금이 가거나 골절이 발생할 수 있습니다. 갈비뼈가 금이 간 경우 초기 증상을 인지하고 적절히 대처하는 것이 중요합니다.


이번 포스팅에서는 갈비뼈 금간 증상의 특징과 대처법, 그리고 회복기간에 대해 알아보겠습니다.
갈비뼈 금간 증상의 주요 특징
갈비뼈가 금이 간 경우 나타나는 증상은 상황에 따라 다를 수 있습니다. 하지만 일반적으로 다음과 같은 증상이 발생할 수 있습니다:

- 통증: 갈비뼈 금간 시 가장 먼저 나타나는 증상은 통증입니다. 통증은 가만히 있을 때보다 숨을 깊게 들이마시거나 기침, 재채기를 할 때 심해지는 경향이 있습니다. 통증은 시간이 지나면서 호전될 수 있으나 초기에는 매우 심할 수 있습니다.
- 압통: 갈비뼈를 누를 때 심한 압통이 느껴질 수 있습니다. 손으로 만지면 뼈 부위가 민감하게 반응합니다. 압통은 일반적으로 금간 부위의 손상을 확인하는 데 중요한 단서가 됩니다.
- 호흡 곤란: 심한 경우 숨을 들이쉴 때 불편함이나 답답함을 느낄 수 있습니다. 이는 갈비뼈의 움직임이 제한되면서 발생하는 증상입니다. 이런 증상은 특히 폐 주변의 갈비뼈가 금이 간 경우 더욱 뚜렷하게 나타납니다.
- 부종 및 멍: 외부 충격으로 인한 경우 부상 부위에 부종이 생기거나 멍이 들 수 있습니다. 이러한 외상 징후는 부상 정도를 가늠하는 데 도움을 줍니다.
- 소리: 갈비뼈가 금간 부위에서 가벼운 소리가 들릴 수 있는데, 이는 뼈가 움직이면서 발생하는 현상입니다. 소리는 대부분 움직임에 의해 발생하며, 주의 깊게 확인해야 합니다.
갈비뼈 금간 시 원인과 위험 요인
갈비뼈에 금이 가는 주요 원인은 외부 충격입니다. 교통사고, 스포츠 활동 중의 부상, 낙상 등이 대표적인 원인입니다. 또한 골다공증이나 암과 같은 기저질환이 있는 경우 갈비뼈가 약해져 작은 충격에도 쉽게 손상될 수 있습니다.
위험 요인
- 나이 증가: 노화로 인해 뼈가 약해지며 금이 갈 가능성이 높아집니다. 노인의 경우 심각한 손상이 아니더라도 회복이 더딜 수 있습니다.
- 운동 또는 직업적 활동: 반복적인 신체 활동이 요구되는 운동선수나 특정 직업군은 부상 위험이 큽니다. 특히 무거운 물건을 자주 들어야 하는 일은 갈비뼈에 부담을 줄 수 있습니다.
- 골다공증: 뼈의 강도가 약화되어 갈비뼈가 쉽게 손상될 수 있습니다. 여성의 경우 폐경 후 골다공증 위험이 증가하며, 이로 인해 갈비뼈가 손상될 가능성도 높아집니다.
갈비뼈 금갔을 때 회복 기간
갈비뼈가 금간 경우, 일반적으로 회복기간은 약 4주에서 6주 정도 소요됩니다. 이 기간 동안 통증이 완화되고 뼈가 자연적으로 치유됩니다. 그러나 개인의 건강 상태와 부상의 정도에 따라 회복 속도는 달라질 수 있습니다. 심한 경우에는 몇 달이 걸릴 수도 있습니다.

회복을 돕는 방법
- 휴식: 갈비뼈가 금간 경우 무리하지 않고 충분히 휴식하는 것이 중요합니다. 과도한 움직임은 회복을 지연시킬 수 있습니다. 휴식을 취하는 동안 자세를 편안하게 유지하고, 부상 부위를 압박하지 않도록 주의해야 합니다.
- 진통제 사용: 필요 시 의사의 처방을 받아 진통제를 사용하여 통증을 관리할 수 있습니다. 통증 관리가 적절히 이루어지면 일상적인 활동이 더 쉬워질 수 있습니다.
- 심호흡 연습: 심호흡은 폐의 기능을 유지하고 폐렴과 같은 합병증을 예방하는 데 도움을 줍니다. 갈비뼈 부상으로 인해 심호흡이 어려울 수 있으나, 천천히 시작하여 점차 강도를 높이는 것이 좋습니다.
- 부목 또는 보호대 사용: 심한 경우 의사가 부목이나 보호대를 사용하여 뼈를 안정화시킬 것을 권장할 수 있습니다. 그러나 과도하게 사용하면 근육이 약화될 수 있으므로 의사의 지시에 따라 사용해야 합니다.
- 온찜질 및 냉찜질: 초기에는 냉찜질로 부종을 줄이고, 이후 온찜질로 혈액순환을 촉진하여 회복을 돕는 방법이 효과적입니다.
갈비뼈 금간 시 주의사항
갈비뼈 금간 증상이 의심되거나 부상이 심한 경우에는 반드시 병원을 방문하여 정확한 진단을 받아야 합니다. 갈비뼈 부상은 드물지만 폐나 내장기관 손상과 같은 합병증을 동반할 수 있으므로 주의가 필요합니다. 특히 갈비뼈 부상으로 인해 지속적인 호흡 곤란이나 심한 통증이 발생한다면 즉시 전문 의료진의 도움을 받아야 합니다.
병원 방문 시 받을 수 있는 검사


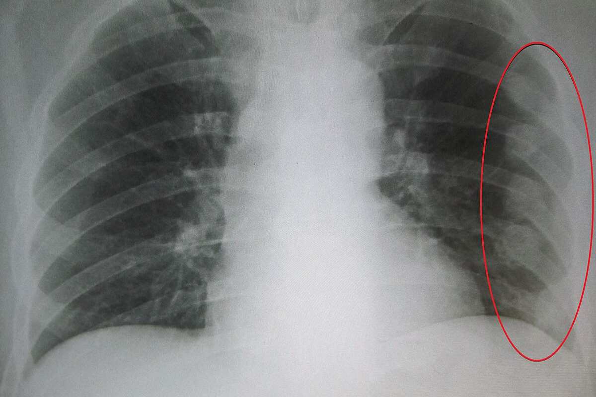
- X-ray: 기본적으로 뼈 손상을 확인하는 데 사용됩니다. 단순 골절은 X-ray로도 충분히 확인할 수 있습니다.
- CT 스캔: 갈비뼈와 주변 조직의 상태를 더 정밀히 확인하기 위해 사용됩니다. 내장 기관 손상이 의심될 때 유용합니다.
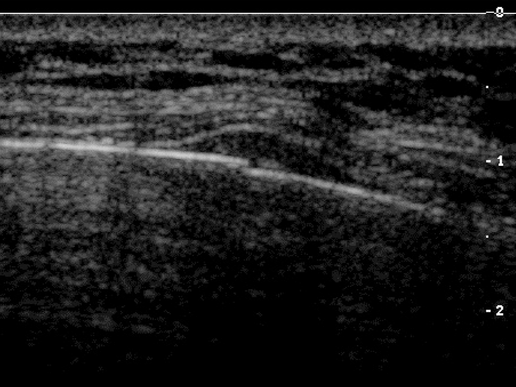
- 초음파: 폐나 다른 장기의 손상 여부를 평가할 수 있습니다. 특히 흉막 내 출혈 여부를 확인하는 데 도움을 줍니다.
- MRI: 드문 경우 뼈와 주변 연조직의 세밀한 손상을 평가하기 위해 MRI를 사용할 수도 있습니다.
합병증 예방을 위한 주의
갈비뼈가 금이 간 상태에서 폐렴이나 늑막염과 같은 합병증이 발생할 위험이 있습니다. 이를 방지하기 위해 규칙적인 심호흡과 가벼운 움직임을 유지하며, 증상이 악화될 경우 빠르게 대응해야 합니다.
결론
갈비뼈가 금간 경우 초기 증상을 정확히 파악하고 적절히 대처하는 것이 중요합니다. 통증이 지속되거나 호흡 곤란 등의 심각한 증상이 나타날 경우 반드시 병원을 방문하여 전문가의 도움을 받아야 합니다. 회복 기간 동안에는 무리하지 않고 휴식을 취하며 몸 상태를 주의 깊게 관찰하는 것이 필요합니다. 특히 고령자나 기저질환이 있는 경우 회복이 더딜 수 있으므로 더 많은 주의가 요구됩니다. 건강은 무엇보다 중요하니, 갈비뼈를 포함한 뼈 건강에 항상 유의하시길 바랍니다.
'생물 과학 화학 천문 건강 > 건강' 카테고리의 다른 글
| 생굴 노로바이러스 감염률 낮추는 방법, 씻는법 (0) | 2025.01.27 |
|---|---|
| 진짜 꿀 순도, 벌꿀의 식품첨가물 (0) | 2025.01.01 |
| 발가락 골절 완치 기간 엄지, 새끼 스플린트 (0) | 2024.11.12 |
| 용각산의 효능, 복용법, 성분, 쿨의 가격 (0) | 2024.11.07 |
| 피살리스 효능 10가지, 꽈리 부작용 (0) | 2024.11.03 |